Hakkımızda
Kedi ve köpeklerde kalp hastalıkları konusunda 2006 yılından günümüze, birçok muayene ve tedavi ile sevgili dostlarımızın yanındayız. Hastalarımızı mümkün olan en erken aşamada tespit edip, tedavi şansını artırmak en önemli hedefimizdir. Hasta sahiplerinde kalp hastalığı yönünde farkındalık yaratarak muayene oranını artırmak ve geç kalmadan tedavilerine başlamak amacıyla gerek sosyal medyada, gerekse veteriner klinikleri ile hastanelerinde hekimlerimizin bu konuya ağırlık vermeleri için çalışıyoruz.
Tedavi Edilen Hasta 90%
Hastalık tespit oranı 60%
Konsultasyon Klinik 49%
Aylık Klinik Sayısı 26
Toplam Hasta Sayısı 1078
Aylık Vaka Sayısı 74
Aylık Klinik Ziyaretleri 1086 km
NELER YAPIYORUZ ?

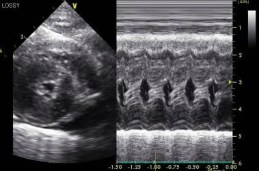
Ekokardiyografi
Kalp hastalıklarında tanının en kıymetli araçlarından biri kuşkusuz ki ekokardiyografi ile kalbin iç yapıları, duvar kalınlıkları ve kapak hareketleri ile çevre dokuları hakkında detaylı görüntüler alabilmek; kan akım dinamiklerini incelemektir. Bu amaçla özel problu ve yazılımlı ultrasonografi cihazları ile hastalarda herhangi bir yatıştırıcı yada anestesi uygulamadan yarım saat gibi kısa bir sürede muyaenelerini gerçekleştiriyoruz. Elde edilen sonuçları her ırk ve vücut ağırlığına uygun referans tablolarınca değerlendirerek hastalığın kesin tanısını oluşturuyoruz.

Radyografi
Kalp hastalıklarında kalbin bulunduğu göğüs boşluğunun röntgen ile değerlendirilmesi, kalbin boyutları ve çevre dokuların durumları hakkında bilgi edinmek amacıyla radyografiden faydalanıyoruz. Herhangi bir yatıştırıcı ya da anestesiye ihtiyaç duyulmadan çok düşük dozda X ışınları ile dijital radyografiler ile muayenemizi tamamlıyor; tüm dünyada kabul görmüş değerlendirme skalaları ile ölçümleri yapıyoruz

Kardiyolojik Muayene
Kedi ve köpeklerde kalp hastalıklarının muayenesi, hasta sahiplerinin şikayetlerinden başlayarak, buna bağlı oluşabilecek bozuklukların fiziksel değerlendirmesi, ırk yatkınlığı olan hastalıkların ele alınarak, ekg, röntgen, eko muayeneleri ve beraberinde kan biyokimyasal analizleri ile kardiyak biyobelirteçlerin analizi ile gerçekleştirilir.

Laboratuvar
Kalp hastalıklarında bazı kan parametrelerinde oluşan bozukluklar ve kalp tarafından özel salgılanan bir takım biyobelirteçlerin özel testler ile tespiti sayesinde kalpte oluşan bozukluk ve şiddeti konusunda bilgi edinilir. Bu maksatla dünyaca kabul görmüş ProBNP, Troponin DDimmer gibi biyobelirteçler ile kan biyokimyasal analizlerinde karaciğer, böbrek, şeker metabolizması, protein metabolizması, yağ metabolizması ve elektrolit analizleri başta olmak üzere birçok değerlendirme yapılabilmektedir. Ayrıca kanın şekilli elemanlarının sayısal değerlendirilmeleri ile de anemi, enfeksiyon durumları ortaya konmakta ve pıhtılaşmaya yada alerjik sebeplere yönelik bulgular yakalanmaya çalışılmaktadır.

Bilgisayarlı Tomografi
Kedi ve köpeklerde kalp hastalıklarının tespiti için kullanılan standart tedavi protokollerinin yeterli olmadığı durumlarda ileri görüntüleme tekniklerinden olan Bilgisayarlı Tomografiden de faydalanılmaktadır. Genel anestezi altında gerçekleştirilen bu muayeneler ile kalbin yaratmış olduğu bozukluğa bağlı kan dinamiklerinde bozulmalar rahatlıkla tespit edilmektedir. Bazı doğmasal kalp bozukluklarında da kanın geçiş yolu izlenerek bu tür hastalıkların tanısı konabilmektedir.

Konsultasyon Desteği
Veteriner tıp alanında uzmanlaşma eğitimlerinin yetersziliği ve hastalarda çok yönlü değerlendirme mecburiyeti nedeniyle, her hekimin her konuda uzman olması imkansızlaşmaktadır. Bu nedenle belli konularda uzmanlık alanı dahilinde hekimler birbirleri ile iletişim içerisinde hastalarının durumlarını paylaşarak hem bilgilerini güncelleme fırsatı bulmakta, hem de hastaları için en güncel ve en doğru tedavi fırsatını yakalayabilmektedir. Bu maksatla veteriner kardiyoloji alanında veteriner hekimler ile iyi sinerji içerisinde her türlü kardiyolojik dayanışmayı sağlıyor, konsultasyon desteği sunuyoruz.
BİZE ULAŞABİLİRSİNİZ
0536 989 89 97
SON YENİLİKLER

Lorem ipsum dolor sit amet, consectetur adipiscing elit. Ut elit tellus, luctus nec ullamcorper mattis, pulvinar dapibus leo.

This is the heading
Lorem ipsum dolor sit amet, consectetur adipiscing elit. Ut elit tellus, luctus nec ullamcorper mattis, pulvinar dapibus leo.

Sponsorlarımız
Lorem ipsum dolor sit amet, consectetur adipiscing elit. Ut elit tellus, luctus nec ullamcorper mattis, pulvinar dapibus leo.




